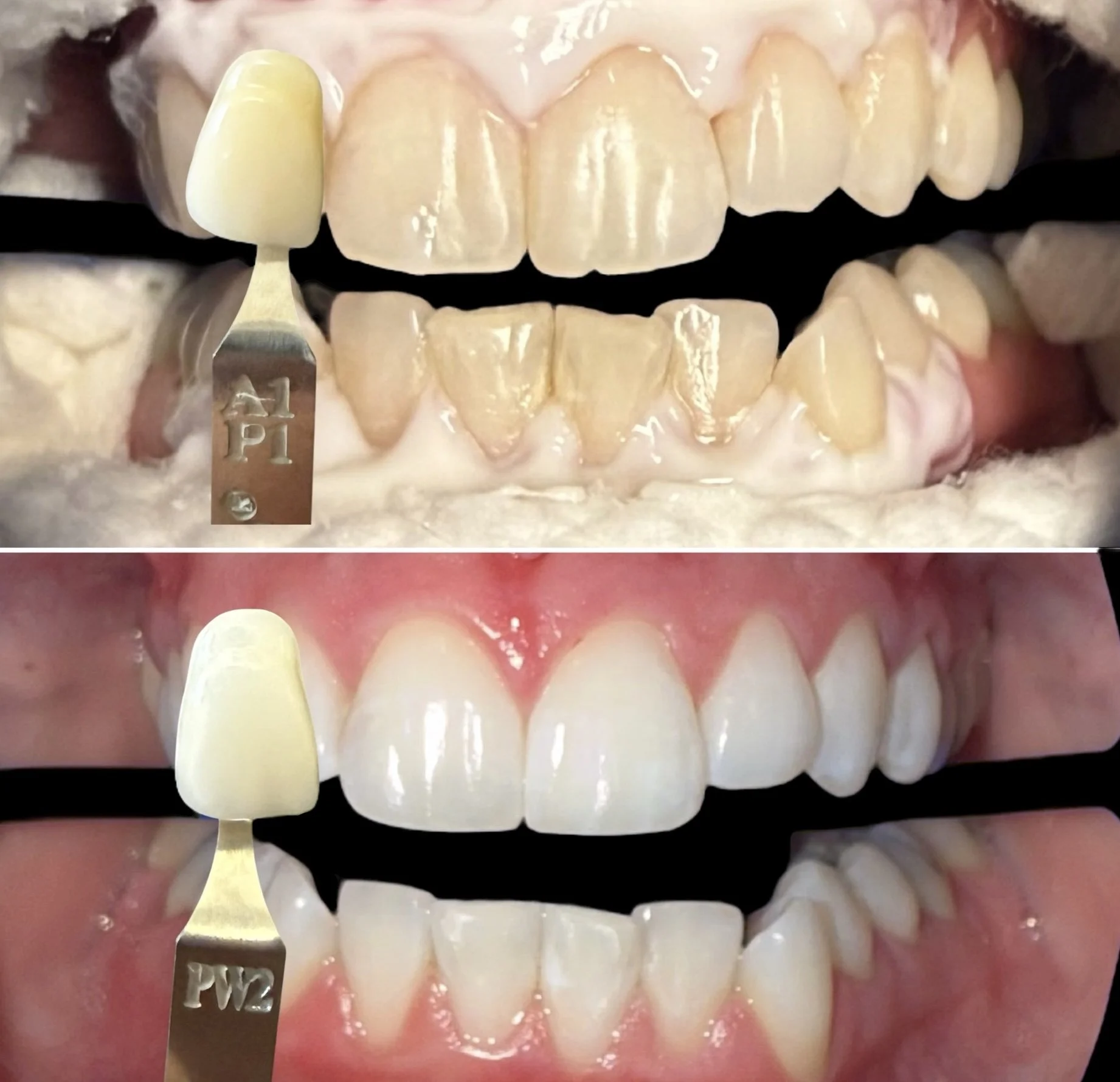
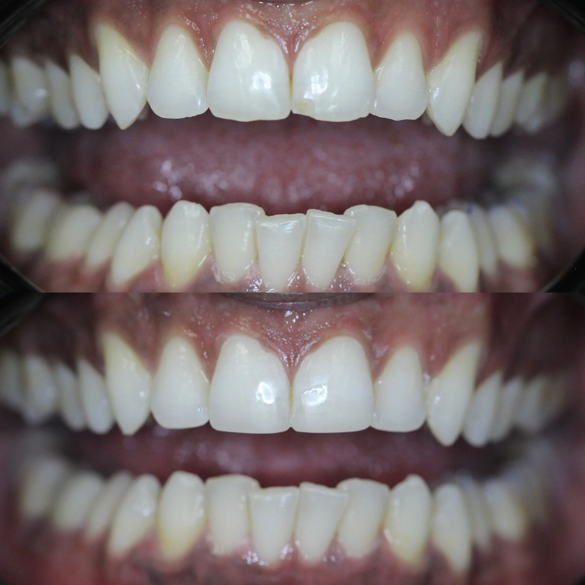
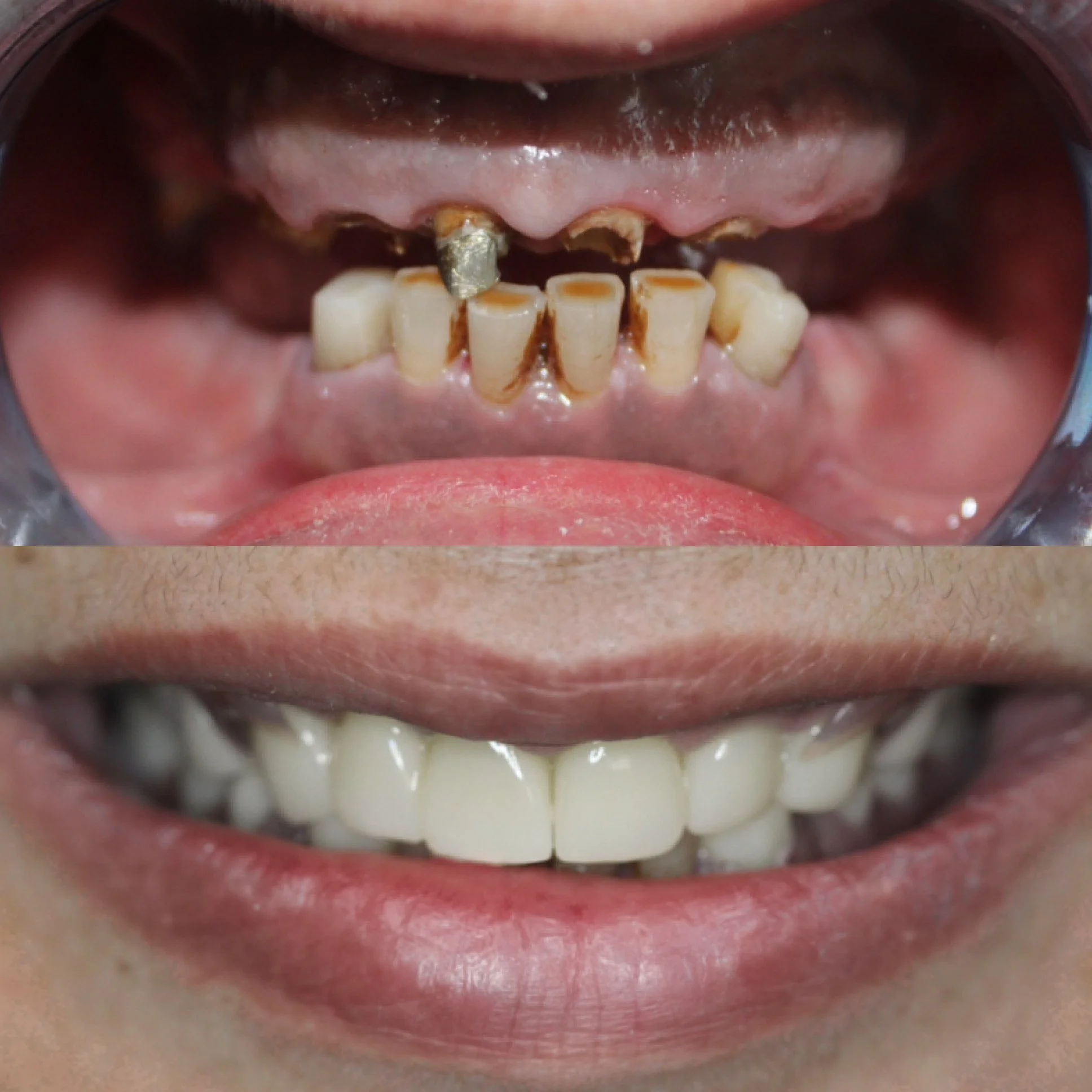
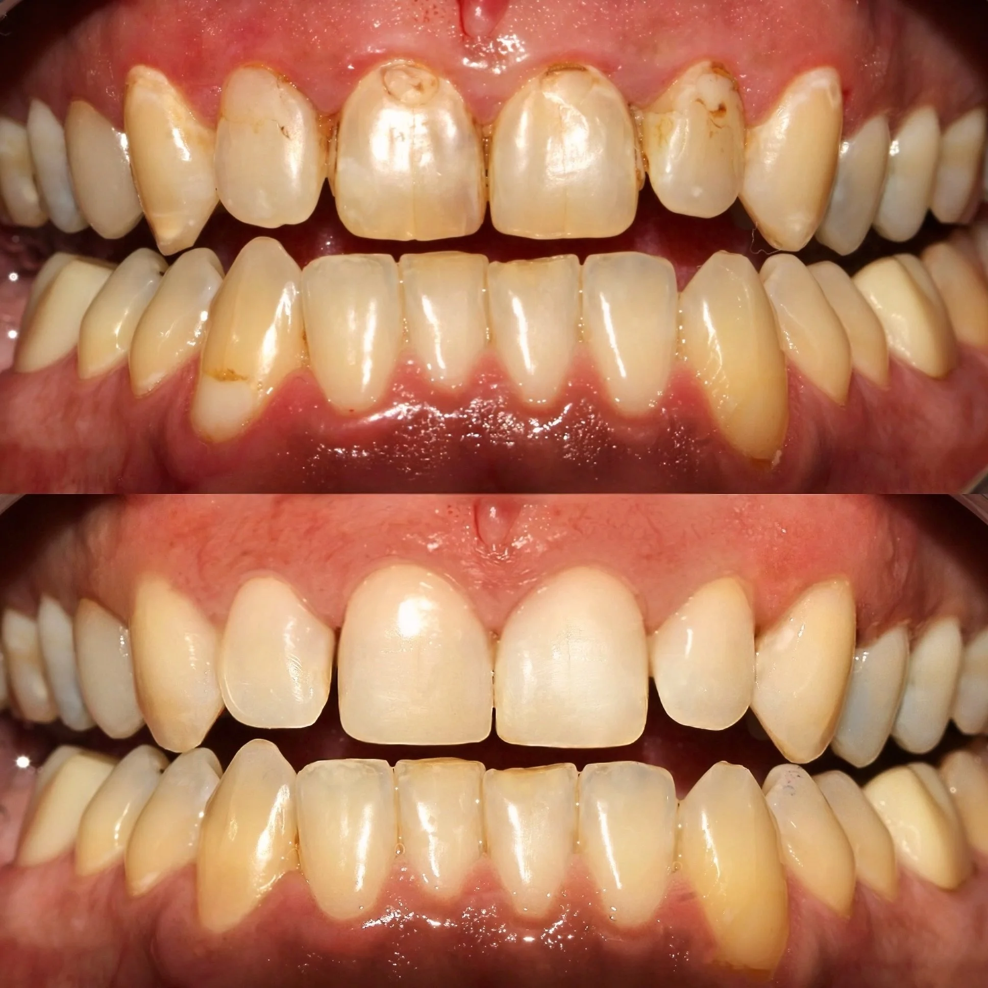
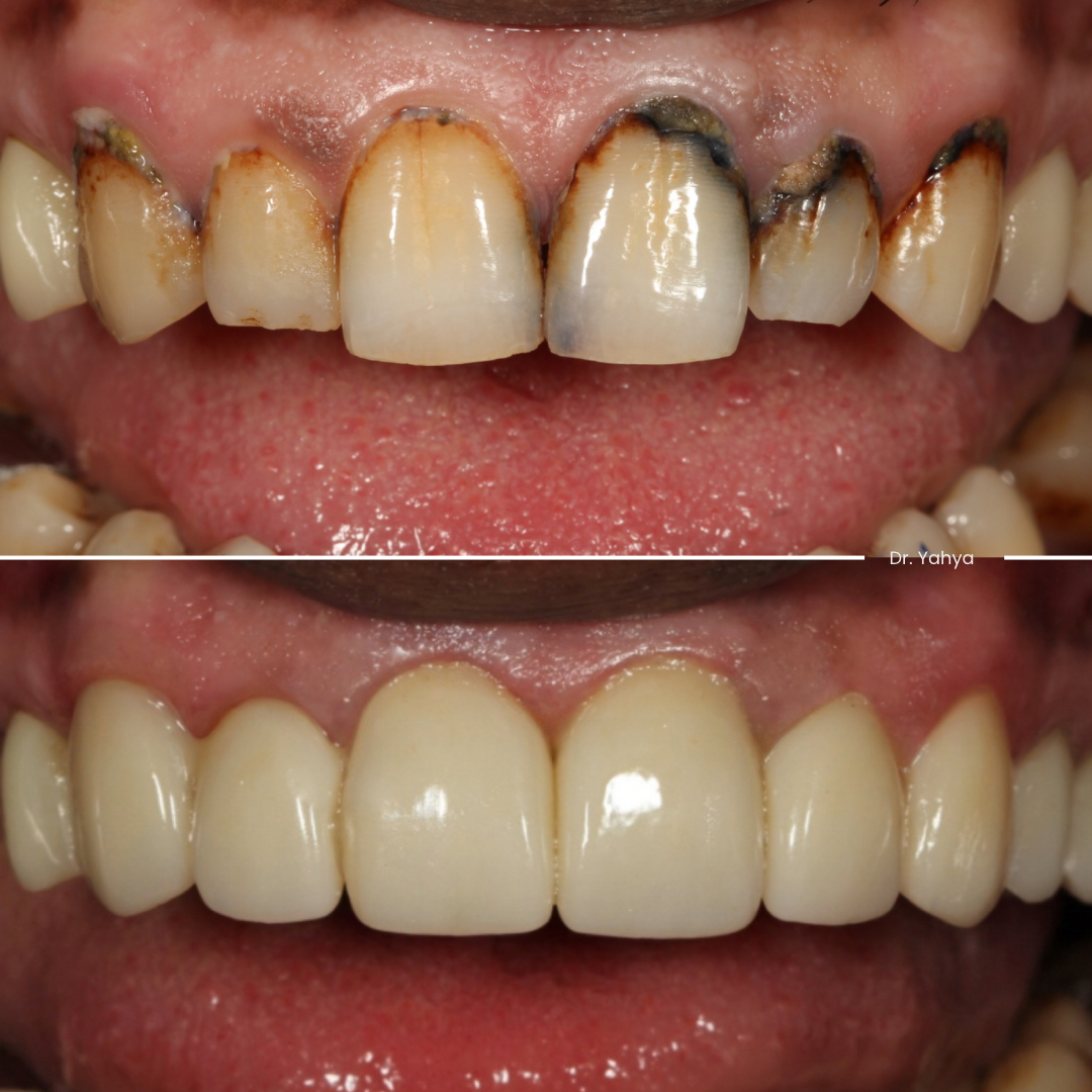
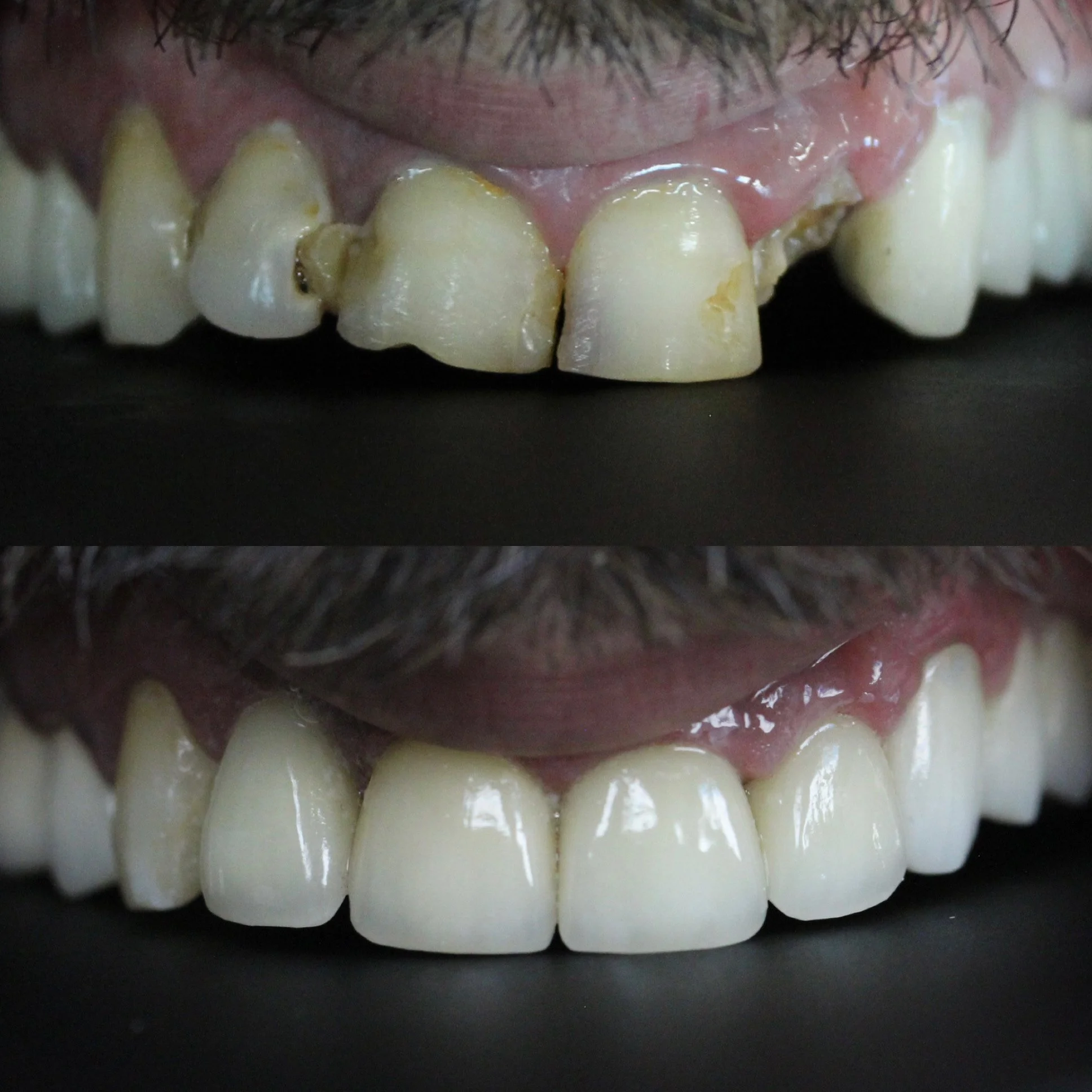
Take a look at our recent dental transformation photos — real smiles, real-life changes.
Before-and-after comparisons that highlight improvements in alignment, color, and tooth shape
Restorations that blend seamlessly with natural teeth
Solutions for missing teeth, worn enamel, and uneven smiles
Real patients with real results — no filters, just expert care
If a transformation here looks like the smile you want, schedule a consultation to discuss options tailored to your needs: cosmetic dentistry, restorative work, implants, or orthodontic treatments. Our team at Silver Dental will evaluate your goals, recommend the most effective plan, and walk you through each step toward a healthier, more confident smile.Take a look at a selection of our recent projects, crafted with care and designed to make an impact.

